يبلغ 65 عامًا.. إنقاذ مريض يعاني من ضيق حرج بالشريان السباتي بأسيوط
تمكن فريق طبي بقسمي الأشعة التشخيصية والأمراض العصبية بجامعة أسيوط من إنقاذ حياه مريض يعاني من ضيق حرج بالشريان السباتي نتج عنه جلطات متعددة بالمخ.
جاء ذلك تحت رعاية الدكتور أحمد المنشاوي، رئيس الجامعة، والدكتور علاء عطية، عميد كلية الطب رئيس مجلس إدارة المستشفيات الجامعية، والدكتور خالد عبدالعزيز، مدير المستشفى الجامعي الرئيسي، تحت إشراف الأستاذ الدكتور مصطفى الشرقاوي، رئيس قسم الأشعة التشخيصية، والأستاذ الدكتور خالد البيه، رئيس قسم الأمراض العصبية، والأستاذ الدكتور طارق راجح رئيس وحدة الأمراض العصبية.

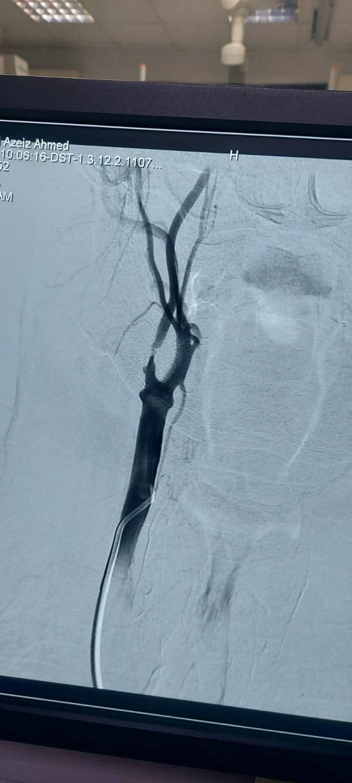
واستقبل المستشفى الرئيسي مريض يبلغ من العمر 65 عامًا، يعاني من جلطات متعددة بالمخ؛ نتيجة ضيق حرج بالشريان السباتي، وبعد إجراء الفحوصات اللازمة تقرر ضرورة التدخل بالقسطرة.
تشكل الفريق الطبي الذي جاء برئاسة الأستاذ الدكتور مصطفى هاشم أستاذ الأشعة التشخيصية والتداخلية والقسطرة المخية، يعاونه الدكتور محمود رفعت مدرس واستشاري الأشعة التشخيصية والقسطرة المخية، والدكتور محمود نجيب مدرس واستشاري الأعصاب والقسطرة المخية، والطبيب عبد الرحمن عمر مدرس مساعد الأشعة التشخيصية والتداخلية.

عاون الفريق الطبي فريق طبي متميز من قسم التخدير جاء تحت إشراف الأستاذة الدكتورة هالة سعد عبدالغفار، وضم الطبيب المقيم زكريا أحمد ، فيما عاون الفريق الطبي الأستاذ عماد ناصح فني القسطرة، ومن هيئة التمريض، الأستاذ شعبان رمضان، والأستاذ إسحق إبراهيم.
وتكللت العملية بالنجاح، وغادر المريض المستشفى بحالة صحية مستقرة .